
Tympanoplasty – Gusher as a complication in otosclerosis surgery : how to prevent and react
Stapédectomie-laser : poster présenté au congrès de la société royale belge d’ORL le 28/3/15
By E. Holvoet, P.Levie – Department of ENT – Sainte-Anne Saint-Rémi (Chirec) Bruxelles
Introduction and aim
Gusher is a rare and serious complication in otosclerosis surgery, linked with malformation of the inner ear or genetic cause. How can we prevent and should we manage this event?
Case report
A women of 50 years old presents with mixed deafness of the left ear. Preoperative imaging showed otosclerosis. When opening the footplate with CO2 laser during stapedotomy, we experience a perilymphatic gusher. We plug the oval window with vein graft and the fluoroplastic piston is inserted. No postoperative complication is encountered.
Result
Post-operative course: 4 days hospitalisation surveillance with cefazoline, diamox, corticoids and piracetam. No complains of dizziness or nausea. Tinnitus in left ear is still present.
- Preoperative audiometry
- Postoperative audiometry 1 day after
- Postoperative audiometry 1 year after
- Gusher
- Piston

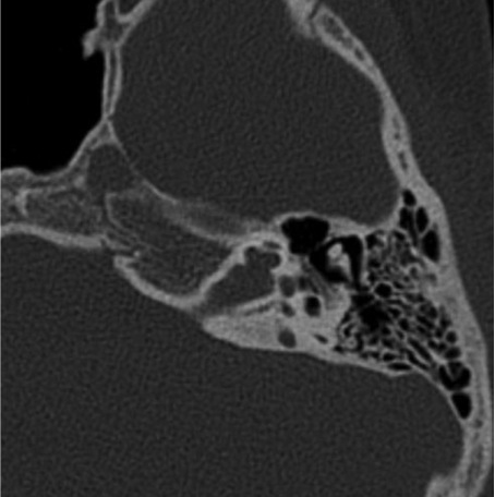
Dehiscence between the basal turn of the cochlea and the lateral end of the internal meatus
Discussion
Longterm audiologic result shows closure of the Rinne in some frequencies with minor neurosensorial loss.
Causes of gusher
![]() |
MONDINI SYNDROME OR OTHER INNER EAR MALFORMATIONS: often accompanied with defect in the cribriform area of lateral end of internal auditory canal. While mostly neurosensoriel deafness, conductive deafness is possible. |
![]() |
ENLARGED VESTIBULAR AQUEDUCT (endolymph): Suggests a second fistula to communicate with perilymph space. Possible conductive hearing loss due to impairment of stapes movement by increased endolymphatic pressure. |
![]() |
Communication between cochlea and lateral internal meatus, isolated or in patients with X LINKED MIXED DEAFNESS. Congenital stapes fixation, suspicious when avascular middle ear and posterior crura abnormality of the stapes.) |
![]() |
ENLARGED COCHLEAR AQUEDUCT: communication with subarachnoid space. |
Superior Semicircular Canal Dehiscence syndrome??
![]() |
Endocochlear conductive deafness due to loss of acoustic energy through ‘thirth window’. Stapedius reflex is present Rinne around 30 dB CT scan: plane of Pöschl |
| Vestibular evoked myogenic potential: |
![]() Pathological left ear: lower threshold < 90dB and higher amplitude of waves. |
QUID?
Can we perform stapedectomy in case of otosclerosis with presence of SSCD and negatif VEMP?
Is there a risk of Gusher?
Take home message
Look for anatomical defects in preoperative CT scan: SSCD, enlarged cochlear or vestibular aqueduct, malformation of cochlea (Mondini, Xlinked syndrom).
- If SSCD: complete work up with cVEMP: can we operate?
- In case of gusher: insert a large piston and seal with vein or muscle.
Bibliography
- Cochlear Implants, John Niparko, 2009, Lippincott Williams & Wilkins
- European society of radiology: radiological case database
- “X-linked Stapes Gusher: CT findings in one patient”, G.Kumar et all, AJNR am J. Neuroradiol 24:1130-1132, June/July 2003.
- “Cerebrospinal fluid gusher during stapedectomy”, John R. Emmett, Head and Neck Sugery, vol14, nr4: 300-302, Dec 2003.
- “Perilymphatic gusher in stapedectomy: demonstration of a fistula of internal auditory canal”: P. Cassano et all, Acta Otorhinolaryngol Ital, 23:116-119, 2003.
- “Superior semicircular canal dehiscence: prevalence in a population with clinical suspected otosclerosis-type hearing loss”, V. Picavet et all, B-ENT, nr 5:83-88, 2009.
- “Gusher in Stapedotomy – a case report”, C. Melo et all, Intl. Arch. Otorhinolaryngol. Sao Paolo – Brazil, vol14, nr 2:239-242, April 2010.
- “Stapedectomy Gusher: a clinical experience”: Hassan Wahba, Int. Adv. Otol.; 6:(2), 149-154, 2010.
- “Simultaneous true stapes fixation and bilateral bony dehiscence between the internal carotid artery and the apex of the cochlea: the ultimate pitfall”: P. Neyts et all, Otology & Neurotology, 32:909-913, 2011
Complete poster (pdf version) :
postergusher










